
Sévère retrait gingival 
Chirurgie avec greffe tissus conjonctif 
Résultat à 3 mois 
Diastèmes disgracieux, fille de 18 ans 
Traitement avec facettes Edelweiss 
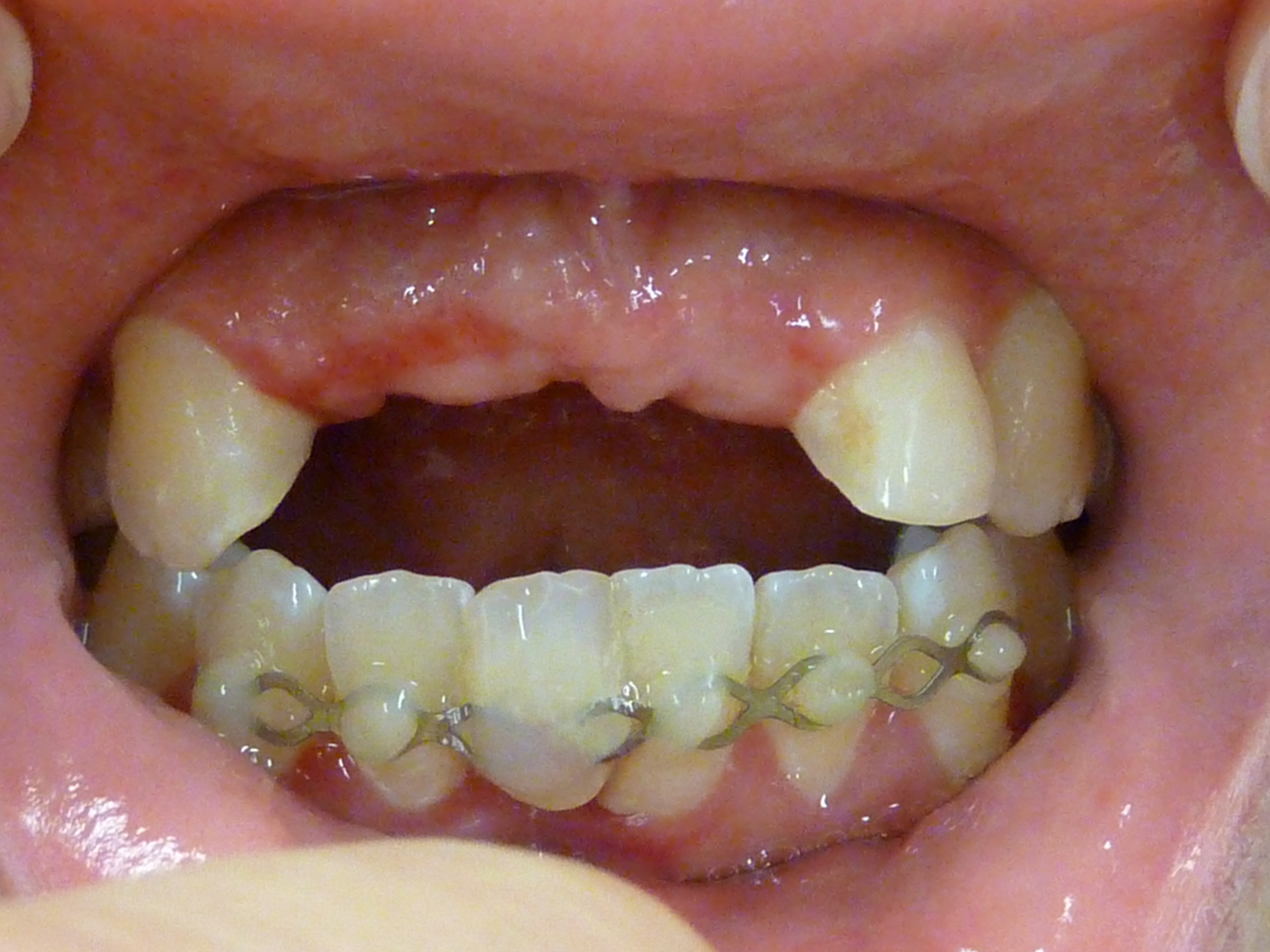
Incisive perdue, patient de 20 ans 
Implant maison Straumann Bâle, + couronne céramique laboratoire Olivier Rey-Mermet 
Couronne sur implant 
Traumatisme patiente de 18 ans 
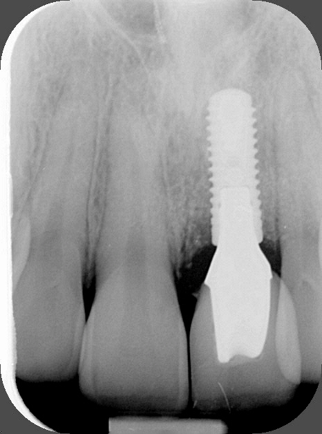
Implant Straumann et couronne céramique laboratoire Olivier Rey-Mermet 
Dent à gauche : couronne sur implant 
Diastèmes disgracieux et absence des incisives latérales 
Contrôle radiographique avec facettes visibles, implant et couronne 
Après traitement orthodontique, implant Straumann, couronne et facettes Edelweiss 
Trauma. Jeune de 20 ans 
Fracture de la racine 
La dent est perdue 
Pose d’un implant 
Radiographie implant + couronne céramique 
Remplacement de la dent perdue par une couronne sur un implant 
Illustration schématique d’une élévation sinusienne maxillaire 
Application clinique: patiente, Mme M. V. 
Application clinique: patiente, Mme M. V. 
Application clinique: patiente, Mme M. V. 
Application clinique patiente, Mme M. V. 
Visses 
Pas de chirurgie à l'aveugle 
1) trauma adulte:une incisive expulsée, l’autre déplacée et mobilisée 
2) contention avec replacement rapide des incisives 
3) 7 ans après 
Plusieurs implants Straumann avec greffes bilatérales des sinus maxillaires (réalisées en 2001- radio 2010) 
Implants pluriels, remplacement multiple par plusieurs implants sur 10 ans 
Luxation condyle droit patiente 92 ans. Réduction en urgence 
2 couronnes à l’esthétique douteuse 
Cas final de 6 couronnes antérieures 
Traumatisme: situation initiale 
Situation finale: réhabilitation par implants 
Canine incrustée d’une pierre véritable 
Incisives abrasées et diastème jugé inesthétique 
Correction esthétique par 4 couronnes céramiques 
Cas complexe maxillaire supérieur avec 5 implants + 3 dents piliers naturelles 
Même patient, maxillaire inférieur, 3 implants + 4 dents piliers naturelles 
Radiographie finale, 8 implants, 25 dents céramiques 
Vue partielle en bouche 
Travail soigneux sur modèles( laboratiore Rey-Mermet):doubles restaurations maxillaires complètes 
Un autre pont: le pont japonais, Giverny, les jardins de Monet 
Prothèse amovible supérieure sur implants:fausse gencive, fausses dents, véritable diamant. Très belle réalisation odonto-technique par Yann Produit.Patiente de 30 ans? non, 59! 
Situation après thérapie parodontale 
Epithèse gingivale 
Chirurgie de déplacement des tissus sans greffe additionnelle 
Très sévères retraits gingivaux avec fortes sensibilités et une esthétique compromise 
Après dépose des points, le résultat est très satisfaisant 
Traumatisme avec perte des 2 incisives centrales (2005) 
Les deux incisives ne sont plus réimplantables 
Deux implants et les couronnes céramiques, image radiologique 
Deux couronnes sur implants. Notez l’architecture optimale festonnée de la gencive